入れ歯
当院ではよく噛める入れ歯作りに
とても力を入れています。

しかし、よくかめる入れ歯を作るだけでは不十分だと考えています。
大切なことは、「残っている歯を悪くすることなく、将来にわたって守るような入れ歯をつくること」です。 良い入れ歯を使っていただくことで 「食べる」・「話す」・「笑う」 といった、人生の大切な出来事をより楽しんでいただきたいからです。
こだわり・こつ
私は今までに患者さんから入れ歯に関してのお困りごとを色々とお聞きしてきました。
例えば次のようなことです。
○入れ歯を使い始めてから徐々に他の歯も悪くなってきた。
○入れ歯だと話しづらいので友達との食事がおっくうになる。
○家族と同じ食事ができないので、外食に行けない。
○入れ歯を一日入れていられないので、旅行に行けない。
○カラオケが大好きだったのですが、入れ歯を入れてから大きな口を開けると入れ歯がはずれすれるので歌えなくなってしまった。
一般的に、入れ歯を使い始めると、残りの歯も悪くなっていくということが多いようです。
しかし、これは入れ歯の作り方で大きく変わってきます。単に噛める入れ歯を作ることは、それほど難しいわけではありませんが、残りの歯に大きく負担をかける可能性があり、そのせいで、残りの歯が悪くなることがあります。
当院では"自分の歯を守る入れ歯"
を作っています
歯周病や虫歯の状態を踏まえ、入れ歯の設計を入念に検討することで「自分の歯を守る入れ歯」を設計・提案をします。
また、一度制作したら、永く作り変えなくてもいいよう、お口の中の未来像を考慮し、入れ歯を作っています。
「 自分の歯を守る入れ歯 」
「自分の歯を守る入れ歯」を作るためには、精密でぴったりしており、なおかつ丈夫なものを作る必要があります。すき間があったり、お口に合っていないと、入れ歯が動いてしまい、歯に大きな負担がかかるからです。
ぴったり合った入れ歯を作り、残っている歯をできるだけ守る入れ歯を作るためには、入れ歯の素材や作り方が、大変重要なのです。入れ歯の困りごとの多くが、入れ歯の作り方によって起こります。
当院では、入れ歯をつくる際には、噛み合わせにも精通した、入れ歯専門の技工士がつくります。また、保険外の義歯をつくるにあたっては、一人一人の希望に合った最高の材料を使います。
そのため、当院ではあなたにぴったりの、歯を守る入れ歯を作ることができるのです。
残った歯のメンテナンスは
歯科衛生士が行う
いくら噛める入れ歯が出来ても、残った歯がなくなれば、再び作り直す必要があります。
当院では予防歯科専門の歯科衛生士がメンテナンスします。
患者さんのご希望や
お悩みを十分に聞く
治療前に、しっかりと患者さんの希望やお悩みをお聞きしてから、治療に入りますので、納得していただいた上で、治療開始します。
入れ歯専門の歯科技工所との提携
当院では、入れ歯専門の歯科技工所さんに入れ歯を作成してもらっています。必要があれば、技工士さんにも来ていただき、十分な連携を取って入れ歯の作製にあたります。




作製する入れ歯の種類
部分床義歯
保険
◆レジン床義歯+金属クラスプ(バネ)
自費
◆金属床義歯+金属クラスプ
金属床を使うことで丈夫な入れ歯になります。食事中などに入れ歯がたわむことがないため、残っている歯への負担を減らすことができます。
◆金属床義歯+エステクラスプ
金属床を使うことで丈夫な入れ歯になります。金属のクラスプ(バネ)を使わず、見た目も自然な状態になります。エステ床義歯:金属をほとんど使わない、自然な見た目になる入れ歯。
全部床義歯
保険
◆レジン床義歯
上顎をレジン(プラスチック)で覆います。金属を使う場合に比べて厚みがあり、食べ物の温度(熱い/冷たい)を感じにくくなります。
自費
◆金属床義歯
上顎を金属で覆います。食べ物の温度(熱い/冷たい)を感じやすいのが特徴です。レジンを使った場合と比べて上顎を覆う部分が薄いため、違和感が少ないのも利点です。
◆アタッチメント
歯の根っこを利用したり、インプラントを利用することで、入れ歯を安定させることができます。上顎を覆うことなしで、安定した入れ歯を作ることができます。
作製の流れ
① 口の中の型を取り

② 必要に応じて個人トレーを作成し、精密な型取り
個人トレー:一人ひとりに合った型どりの道具

③ 噛み合わせの高さを測ります

④ 歯を並べた模型で、見た目や
噛み合わせに問題がないか確認
部分入れ歯の場合はバネや金属部分が精密にあっているかを確認します。

症例集
70代 男性 上顎
マグネットアタッチメント +金属床義歯
マグネットアタッチメントを残根に装着することで、上あごをほとんど覆わない総義歯を作製しました。


60代 女性 部分床義歯
エステ床義歯



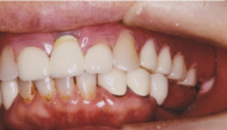
60代 男性 部分床義歯
金属床+金属クラスプ
残っている歯がしっかりしていたため、上あごを覆わない入れ歯を作製することが出来ました。


義歯は長期使用により、人工歯が咬耗して噛み合わせが合わなくなったり、咀嚼効率が悪くなることがあります。
また、歯槽骨や軟組織の変化に伴い義歯が合わなくなることもありますので、定期的に来院し、歯科医師のチェックを受けることをおすすめします。




